정확한 진료와 꼼꼼한 치료, 합리적 가격은
사려니의원의 기본 이념입니다.
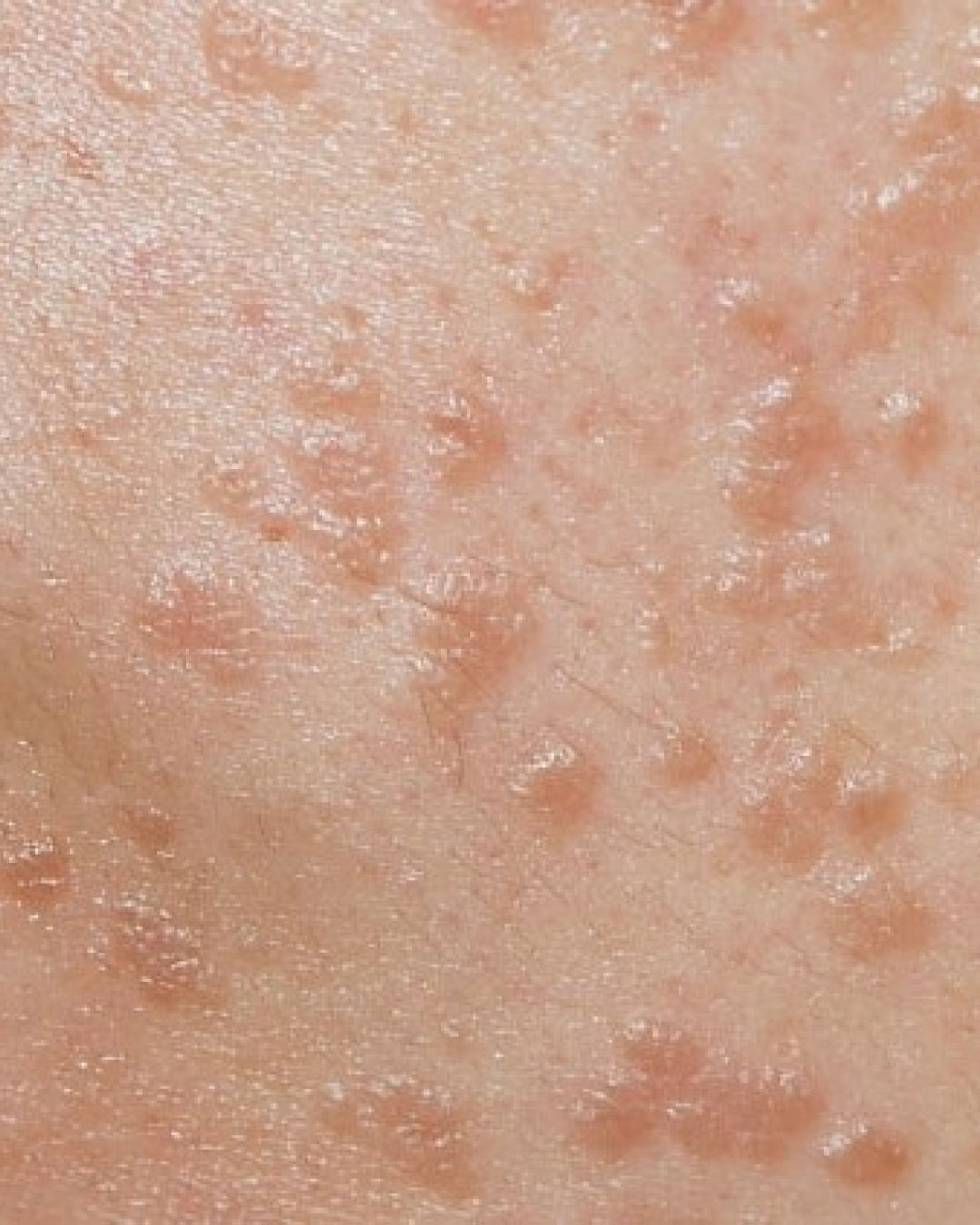
편평사마귀 / 검버섯 / 쥐젖 / 비립종
점
보톡스
편평사마귀와 검버섯은 방치할 경우
병변이 깊어지거나 개수가 증가하여,
초기에 꼼꼼한 치료가 필요합니다.
편평사마귀 치료 전문 시스템으로
환자분들께 최적의 치료를 제공합니다.
점 제거는 단순해 보일 수 있지만,
점의 크기와 깊이에 따른
맞춤 제거 전략이 필요합니다.
색소 침착, 홍반, 패이는 흉터 등의 부작용들을
최소화하기 위한 섬세한 치료가 중요합니다.
내성 위험을 최소화한 두 가지의
고급 보톡스 (코어톡스/제오민) 만을 취급하고 있습니다.
고용량의 보톡스 시술을 짧은 주기로
반복하는 것을 방지하기 위해, 오직 턱과 주름 보톡스
(이마, 미간, 눈가, 콧등, 자갈턱) 시술만 진행합니다.
사려니의원은 부위 내 존재하는 모든
편평사마귀, 검버섯, 쥐젖, 점
비립종, 체리혈관종을 제거합니다.
-
병변의 개수가 많더라도
부위 별 최고 금액 이상으로 책정되지 않으며,
병변의 개수가 적더라도
부위 별 최소 금액 이하로 책정되지 않습니다.
*10개 미만의 낱개 치료는 어렵습니다.
제거 시술
얼굴
100,000 원 - 350,000 원
목
상반신 앞면
150,000 원 - 1,200,000 원
상반신 뒷면
• 시술 비용은 병변의 종류, 크기, 깊이, 개수 등을
종합적으로 고려하여 결정됩니다.
• 병변의 상태가 심각할 경우, 매우 드물게 부위 별
기준 금액을 초과하는 비용이 발생할 수 있습니다.
(이 경우 사전 상담을 통해 충분히 안내드린 후,
환자분께서 치료 여부를 직접 결정하실 수 있습니다.)
제거 후 주의사항
편평사마귀, 검버섯, 쥐젖, 점, 비립종, 체리혈관종을 제거합니다.
병변의 개수가 많더라도 부위 별 최고 금액 이상으로 책정되지 않으며,
병변의 개수가 적더라도 부위 별 최소 금액 이하로 책정되지 않습니다.
• 시술 비용은 병변의 종류, 크기, 깊이, 개수 등을 종합적으로 고려하여 결정됩니다.
• 병변의 상태가 심각할 경우, 매우 드물게 부위 별 기준 금액을 초과하는 비용이 발생할 수 있습니다. (이 경우 사전 상담을 통해 충분히 안내드린 후, 환자분께서 치료 여부를 직접 결정하실 수 있습니다.)
• 시술 후 얼굴 세안은 가볍게 물로만 해주세요. (스킨, 로션 사용 가능)
• 7일 후부터 색조화장 및 비누 세안이 가능합니다.
• 딱지가 있는 동안 샤워는 가능하지만 사우나, 목욕, 수영장은 피해 주세요.
• 딱지는 자연스럽게 떨어질 때까지 그대로 두세요. 절대 억지로 떼지 마세요.
• 딱지가 떨어지기 전에는 재생연고를 하루에 3~4회 이상 꾸준히 발라 상처 회복을 도와주세요.
• 선크림은 시술 후 1주일 후부터 사용이 가능합니다.
• 딱지가 떨어지고 상처가 새살로 덮여지면 충분히 아물었다는 뜻입니다.
(이때부터 선크림을 꼭 발라 색소침착을 예방하세요.)
• 햇빛 노출은 언제나 최대한 피해 주세요.
• 치료 후 피부는 딱지 → 홍조 → 갈색 → 정상 피부색으로 변화하는 과정이 나타납니다.
• 피지 분비가 많은 얼굴은 정상 피부색으로의 회복이 가장 빠르며, 눈가와 목은 시간이 더 필요합니다.
(상반신 앞뒤는 회복이 가장 느립니다.)
• 색소침착은 대부분 3개월~1년 이내에 사라지지만, 더 오래 지속될 수 있습니다.
• 술은 염증을 유발할 수 있으므로, 시술 후 2~3일 동안 금주를 권장합니다.
• 시술 부위에 듀오덤을 7일 동안 붙이며, 2~3일마다 갈아주세요.
• 눈에 가까운 부위는 듀오덤 사용이 어려울 수 있으니, 재생연고를 수시로 발라주세요.
• 듀오덤을 떼어낸 후에는 시술 부위에 한 달 동안 선크림과 재생크림을 꾸준히 발라주세요.
* 듀오덤을 붙인 부위가 가렵거나 따갑거나 붉어지는 경우 듀오덤 알러지 증상일 수 있으니 즉시 제거해주세요.
• 점세포는 재생이 잘 되기 때문에 재발이 흔합니다.
• 깊고 큰 점의 경우 여러 번에 걸쳐 안전하게 제거해야 합니다.
• 점이 재발하거나 완전하게 제거되지 않은 경우, 최소 3개월 이후에 2차 치료를 받는 것이 권장됩니다.
고급 보톡스(코어톡스/제오민)만을 취급하고 있습니다.
반복하는 것을 방지하기 위해,
오직 턱과 주름 보톡스
(이마, 미간, 눈가, 콧등, 자갈턱)시술만 진행합니다.
그 외 보톡스 시술은 진행하지 않습니다.
보톡스 시술
턱 보톡스 50유닛 (코어톡스)
59,000 원
턱 보톡스 75유닛 (코어톡스)
89,000 원
주름 보톡스 (코어톡스)
39,000 원
주름 보톡스 (제오민)
69,000 원
보톡스 효과 및 유지 기간
• 턱 보톡스
평균적으로 2-3주 이내에 효과가 나타납니다.
• 주름 보톡스
빠르면 2-3일에서 7일 이내에 효과가 나타납니다.
• 보톡스의 효과는 보통 3~6개월 동안 유지되며,
개인 차이가 있을 수 있습니다.
(시술 부위와 제품에 따라 유지 기간이 다를 수 있습니다.)
보톡스 시술 후 주의사항
• 세안 및 화장은 시술 후 1~2시간 후부터 가능합니다.
• 시술 후 1주일 동안 뜨거운 사우나, 찜질방,
과도한 음주 및 운동은 피해주세요.
• 시술 부위를 누르거나 문지르는 등 자극을 주지 마세요.
멍이 생길 수 있으나 1주일 내로 사라집니다.
고용량의 보톡스 시술을 짧은 주기로 반복하는 것을 방지하기 위해,
오직 턱과 주름 보톡스(이마, 미간, 눈가, 콧등, 자갈턱)시술만 진행합니다.
• 턱 보톡스 평균적으로 2-3주 이내에 효과가 나타납니다.
• 주름 보톡스 빠르면 2-3일에서 7일 이내에 효과가 나타납니다.
• 보톡스의 효과는 보통 3~6개월 동안 유지되며, 개인 차이가 있을 수 있습니다.
• 시술 후 1주일 동안 뜨거운 사우나, 찜질방, 과도한 음주 및 운동은 피해주세요.
• 시술 부위를 누르거나 문지르는 등 자극을 주지 마세요. 멍이 생길 수 있으나 1주일 내로 사라집니다.
상호명 사려니의원 대표 박철형
사업자등록번호 436-25-01856 문의 02-2671-3041
주소지 서울특별시 영등포구 문래로 180
(영등포 센트럴푸르지오시티) 2층 208호, 209호
협업문의 <saryeoni_clinic@naver.com>
개인정보처리방침 이용약관
COPYRIGHT © 2025 사려니의원. ALL RIGHTS RESERVED
상호명 사려니의원 대표 박철형 사업자등록번호 436-25-01856 문의 02-2671-3041 협업 saryeoni_clinic@naver.com
주소지 서울특별시 영등포구 문래로 180 (영등포 센트럴푸르지오시티) 2층 208호, 209호
• 시술 후 얼굴 세안은 가볍게 물로만 해주세요. (스킨, 로션 사용 가능)
• 7일 후부터 색조화장 및 비누 세안이 가능합니다.
• 딱지가 있는 동안 샤워는 가능하지만 사우나, 목욕, 수영장은 피해 주세요.
• 딱지는 자연스럽게 떨어질 때까지 그대로 두세요. 절대 억지로 떼지 마세요.
• 딱지가 떨어지기 전에는 재생연고를 하루에 3~4회 이상 꾸준히 발라 상처 회복을 도와주세요.
• 선크림은 시술 후 1주일 후부터 사용이 가능합니다.
• 딱지가 떨어지고 상처가 새살로 덮여지면 충분히 아물었다는 뜻입니다.
(이때부터 선크림을 꼭 발라 색소침착을 예방하세요.)
• 햇빛 노출은 언제나 최대한 피해 주세요.
• 치료 후 피부는 딱지 → 홍조 → 갈색 → 정상 피부색으로 변화하는 과정이 나타납니다.
• 피지 분비가 많은 얼굴은 정상 피부색으로의 회복이 가장 빠르며, 눈가와 목은 시간이 더 필요합니다.
(상반신 앞뒤는 회복이 가장 느립니다.)
• 색소침착은 대부분 3개월~1년 이내에 사라지지만, 더 오래 지속될 수 있습니다.
• 술은 염증을 유발할 수 있으므로, 시술 후 2~3일 동안 금주를 권장합니다.
• 시술 부위에 듀오덤을 7일 동안 붙이며, 2~3일마다 갈아주세요.
• 눈에 가까운 부위는 듀오덤 사용이 어려울 수 있으니, 재생연고를 수시로 발라주세요.
• 듀오덤을 떼어낸 후에는 시술 부위에 한 달 동안 선크림과 재생크림을 꾸준히 발라주세요.
* 듀오덤을 붙인 부위가 가렵거나 따갑거나 붉어지는 경우 듀오덤 알러지 증상일 수 있으니 즉시 제거해주세요.
• 점세포는 재생이 잘 되기 때문에 재발이 흔합니다.
• 깊고 큰 점의 경우 여러 번에 걸쳐 안전하게 제거해야 합니다.
• 점이 재발하거나 완전하게 제거되지 않은 경우, 최소 3개월 이후에 2차 치료를 받는 것이 권장됩니다.